
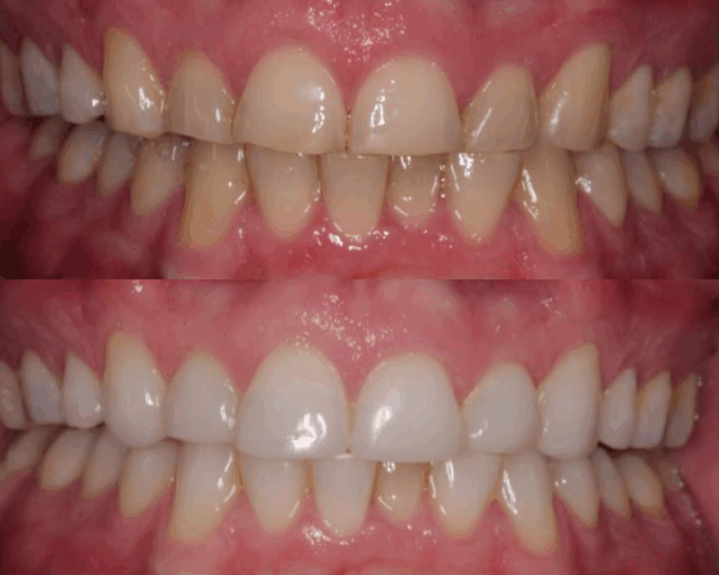
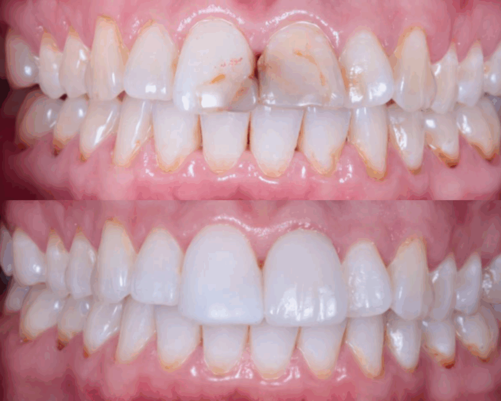
Tom Bereznicki Award for
Advanced Aesthetic Dentistry 2024/25 winners

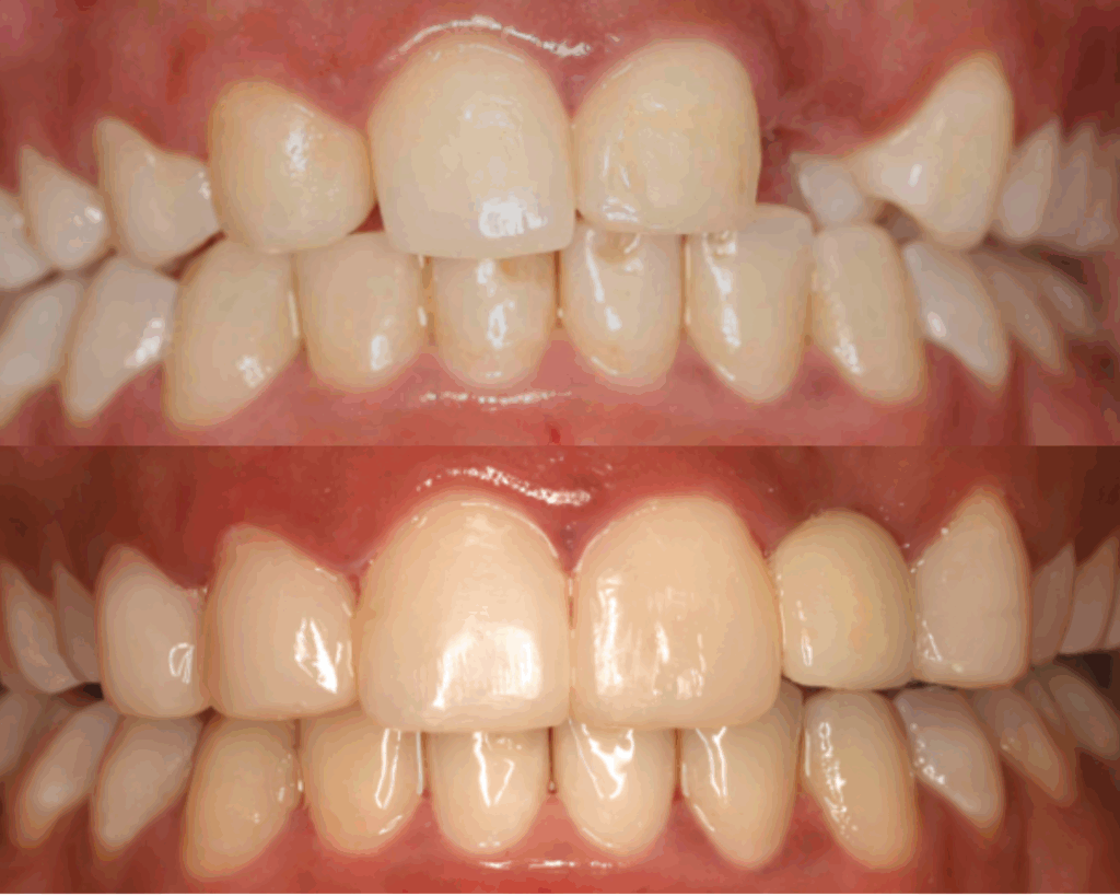
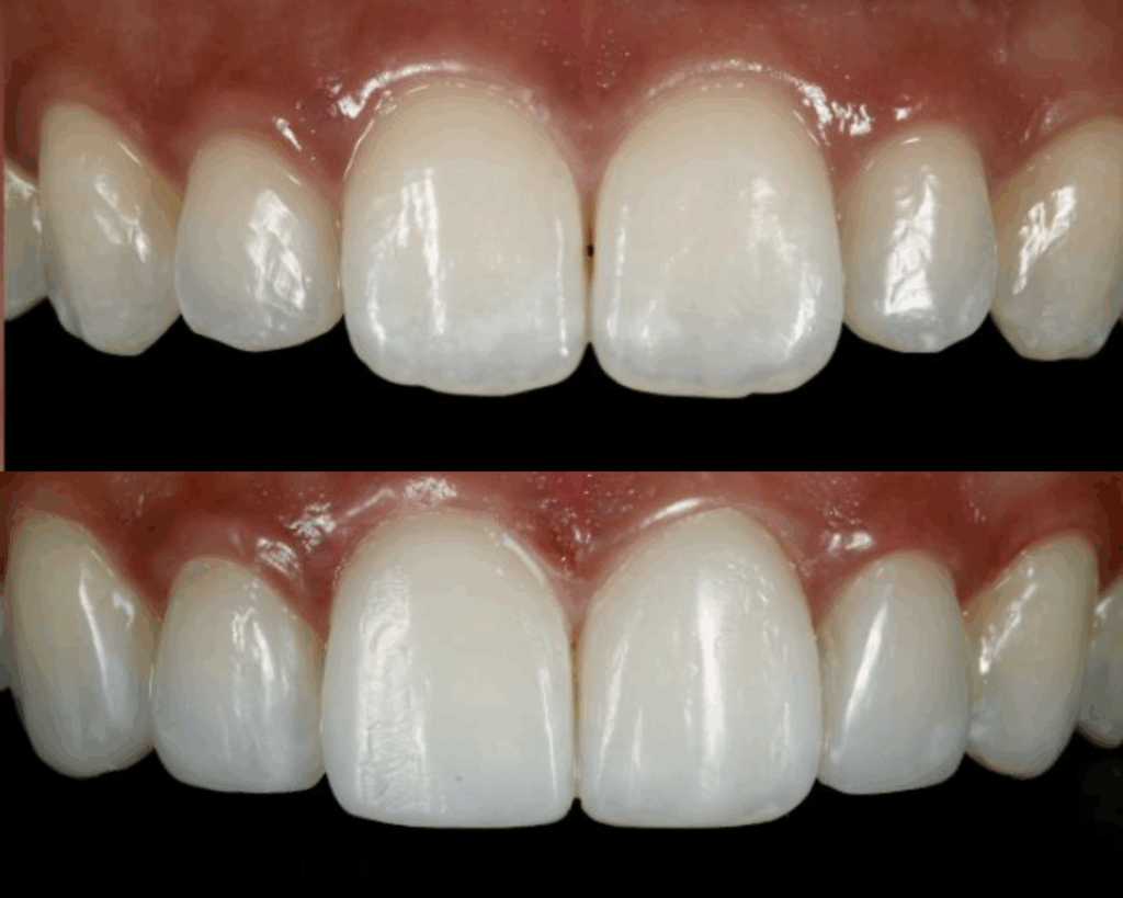
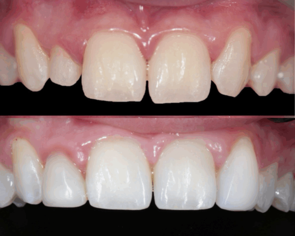
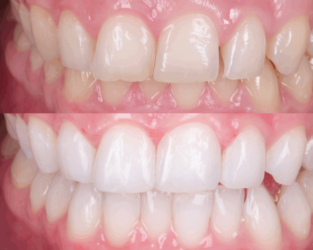
Congratulations to the successful entrants of the Tom Bereznicki Award for Advanced Aesthetic Dentistry 2024/25
Dr Cordelia Ashby

Dr Alastair Campbell

Dr Nathaniel-Edouard Davidson

Dr Farah Elnaqa

Dr Puyan Heydari

Dr Victoria Hillson
Watch interview and read blog

Dr Abida Islam
Watch interview

Dr Milton Justinsuthakaran

Dr Nafeesa Khan

Dr Adam Kingsley
Watch interview

Dr Emily Lawton
Watch interview

Dr Ronan Lee

Dr Tendai Manangazira
Watch interview

Dr Parth Patel

Dr Golasa Sheikh Akbari

Dr Arav Soin

Dr Mojgan Talibi

Dr Nickhalas Tan Chun Khye

Dr Jarmima Uddin
Watch interview

The Tom Bereznicki Award for Advanced Aesthetic Dentistry is open to dentists practising in the UK or European Union (EU) who qualified between 2020-2024.
Follow us on social media:
Join us | Subscribe for College newsletter | Member Register | Patients and public
Privacy policy | Cookie policy | Contact
Company Registration No. 2586636 | Registered Charity No. 1002769
