The College of General Dentistry, Tom Bereznicki Charitable Educational Foundation and Dentsply Sirona would like to congratulate the successful candidates of the inaugural Tom Bereznicki Award for Advanced Aesthetic Dentistry.

The competition, which recognises aesthetic dentistry skills and patient care, was open to dentists who qualified in the UK or Ireland between 2019 and 2023, or who qualified overseas between 2019 to 2023 and had been practising in the UK for at least the two years.

The 19 winning entrants are:

Dr Cordelia AshbyDr Milton JustinsuthakaranDr Golasa Sheikh Akbari
Dr Alastair CampbellDr Nafeesa KhanDr Arav Soin
Dr Nathaniel-Edouard DavidsonDr Adam KingsleyDr Mojgan Talibi
Dr Farah ElnaqaDr Emily LawtonDr Nickhalas Tan Chun Khye
Dr Puyan HeydariDr Ronan LeeDr Jarmima Uddin
Dr Victoria HillsonDr Tendai Manangazira
Dr Abida IslamDr Parth Patel

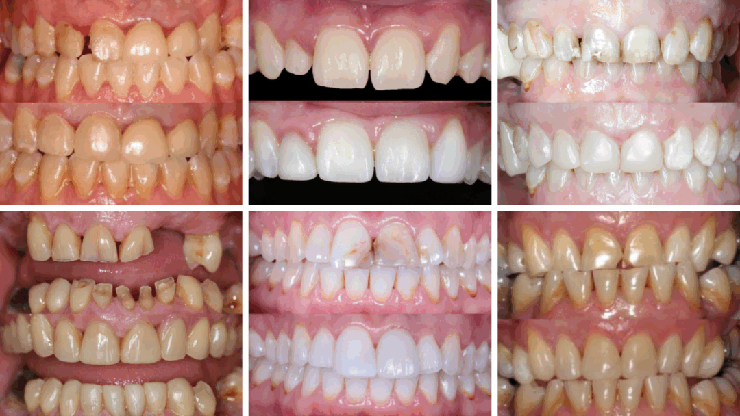
To enter the award, participants each submitted an aesthetic case which involved more than one tooth, including at least one anterior tooth, and the use of composite to restore teeth. Cases also followed a mainly analogue workflow. Cases entered featured a range of restorative treatments including those for diastema, severe tooth wear, and peg shaped laterals. View all successful cases here.

A selection of the winning cases which illustrate a range of different types of cases entered in the competition. Cases submitted by (L-R): Dr Nafeesa Khan, Dr Mojgan Talibi, Dr Cordelia Ashby

The assessors scored each case based on a set of assessment criteria which allocated points to overall improvement in the patient’s oral health, the standard of aesthetic treatment, the complexity of the case and the quality of the entrant’s reflection.

The successful candidates will each receive a fully funded place on a bespoke, hands-on two-day digital dentistry course next month at the Dentsply Sirona Academy in Weybridge, Surrey. Travel costs, hotel accommodation and subsistence are included in the prize, which is worth around £2,000 per place.

The Tom Bereznicki Charitable Educational Foundation supports educational opportunities for early career dental professionals in the UK, and was founded by Dr Tom Bereznicki FCGDent, a general dental practitioner with a special interest in restorative dentistry.

Dentsply Sirona is the world’s largest manufacturer of professional dental products and technologies.

Dr Bereznicki commented:

“I would like to thank everyone who entered our first competition for early career dentists, and congratulate the successful candidates. We were impressed by the high standard of entries we received as well as the interesting and wide variety of aesthetic cases. I am sure the winners, and their patients, will all benefit immensely from the intensive hands-on course on Digital Dentistry, which has been generously supported by Dentsply Sirona.”  

Further details about the award are available on the award web page. To register your interest in next year’s award and receive a notification as soon as the competition opens, sign up to our notification list.

The College also partners with the Tom Bereznicki Charitable Educational Foundation on the CGDent-GC Award for Foundation Trainees (which is currently open to applications) and the ‘Introduction to Occlusion’ series of symposia, the next of which takes place on Saturday 1 November 2025 in Edinburgh.

Subscribe to receive to our monthly newsletter