Dr Shreya Sharma, an Associate Dentist based in Hampshire, was successful in the 2025 CGDent-GC Award. In this blog, she describes how her reflective practice, a key part of the award entry process, supports her professional development.

Dentistry is a profession defined by lifelong learning. No two cases are ever quite the same and with every patient comes an opportunity to refine our judgement, technique and communication. But true growth doesn’t just come from experience, it comes from reflection.
At university, feedback is constant. Every procedure is supervised, every decision discussed. Once qualified, that safety net disappears and suddenly, we’re left to evaluate our own work. For me, reflection has become a way to recreate that feedback loop, to stay accountable and to keep improving.
I realised this most clearly while preparing my case for the CGDent-GC Award for Foundation Trainees. The award places a strong emphasis on reflective practice, with a significant portion of the assessment criteria dedicated to it. Knowing this encouraged me to slow down, document carefully and truly understand the reasoning behind each decision. That’s where the most meaningful learning happened.
What it means to reflect and why it matters
Reflection isn’t just a tick-box exercise for an e-portfolio. It’s an honest look at your own decision-making: why something worked, what could have gone better and how you’ll approach it differently next time.
During my award case, analysing my own work, even small details like line angles, surface texture and the polish of restorations, helped me understand why they mattered and how they influenced the overall outcome.
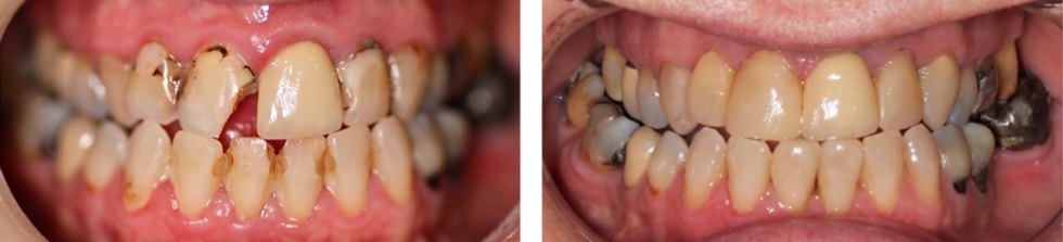
One example was restoring the fractured UR1 to match the adjacent UL1 crown. I found the process far more challenging than expected, particularly when trying to recreate the same lustre and the way the light reflected off the crowned tooth. Even achieving the correct width proved difficult.

To guide the restoration, I used a measuring gauge to record the width of the UL1 and mirrored those measurements for the UR1. Despite this, the restored UR1 still appeared wider than the crown I was trying to mimic. It was only through reviewing my clinical photographs that I realised the issue was not with the measurements, but with the line angles.
The position and width of the line angles dramatically affect how we perceive tooth shape. My initial line angles were placed too far apart, which made the tooth look flat, dull, and visually broader than it truly was. By adjusting their position and narrowing the distance between them, the restoration immediately appeared more natural and better harmonised with the adjacent central.
This experience highlighted how subtle morphological details can completely change the final aesthetic and how essential reflective practice and clinical photography are in developing that level of awareness.
As clinicians, we hold ourselves to incredibly high standards. Reflection helps balance that drive for excellence with curiosity. It allows us to pause, recognise small wins and identify where to grow next. It transforms experience into understanding and uncertainty into progress.
The value of photography and case write-ups
Clinical photography has completely transformed the way I learn. It’s more than documentation, it’s a mirror that reveals what we might miss in the moment: a defective margin, a shade that could blend better or an open contact point. Reviewing those photographs later helps me see patterns and improvements in my work that are often invisible day-to-day.
A significant part of the CGDent-GC Award involves presenting clinical photographs that meet a high aesthetic and technical standard. Working towards this pushed me to refine my photography skills, pay closer attention to detail and critically assess the quality of my own work. Striving to meet that standard ultimately strengthened both my clinical outcomes and my ability to communicate them clearly.
Over time, these images have become a visual record of progress. They remind me that growth in dentistry rarely happens overnight, it builds with one small improvement at a time.
Case write-ups add another dimension to this process. Writing forces you to think through every stage of treatment, to justify your reasoning, material selection and workflow. While preparing my award case, I found myself analysing each choice, from composite selection to polishing technique. Putting those thoughts into words made my clinical reasoning clearer and my approach more deliberate.
Together, photography, writing and reflection drive ongoing development.
How the CGDent-GC Award nurtures reflection and growth
Entering the CGDent-GC Award deepened my appreciation of reflection. It wasn’t just a competition, it was a structured opportunity for learning.
Selecting a case
The process begins with choosing a case that you are about to start treating. Part of the competition is recognising, early on, that a forthcoming case has potential to showcase your skills and be developed into a strong entry. This shift in mindset encourages reflection from the very beginning: What might make this case a good learning opportunity? What challenges could it present?
It’s not about selecting a “perfect” patient or predicting a flawless outcome. Instead, it’s about identifying a case with learning value and approaching it intentionally, with the aim of documenting your decision-making and growth throughout the process.
Documenting the process
Clinical photography was essential here. Each image encourages you to pause, assess, and understand the nuances of your work. The lens doesn’t lie, it reveals subtleties that might otherwise go unnoticed, and the camera, in many ways became my most objective teacher.
Writing the case report
This was the most introspective stage for me. Writing about my case helped me connect my clinical decisions with their outcomes. It gave structure to what I had previously done instinctively and turned my learning into something tangible.
Winning the award
Winning the award was a huge honour, but the greatest reward was the insight gained along the way. Reflecting on my work, documenting the process and sharing it with others renewed my perspective on dentistry, something that’s easy to lose in the rhythm of daily practice.
Beyond the competition
The impact didn’t end when the results were announced. The experience continues to shape how I practice today. I take more photographs, analyse my outcomes more critically, and make time to reflect regularly. The competition gave me a framework for self-assessment and helped turn reflection from something occasional into something routine.
As part of the prize, I attended a two-day composite course in Belgium, where we learned advanced layering techniques and approaches to restoring fractured and discoloured teeth. It was an incredible opportunity to learn from experienced clinicians, refine my practical skills and connect with like-minded individuals.

Competitions like the CGDent-GC Award (and the Advanced Aesthetic Award for more experienced clinicians) don’t just celebrate clinical skill, they nurture the habits that make us better dentists. They remind us that growth isn’t measured by accolades, but by how much we learn from every case, every challenge, and every uncertainty.
How reflection builds confidence
Confidence doesn’t come from avoiding mistakes, it comes from understanding them.
During my award case, I had plenty of moments of uncertainty: shade selection, matrix placement, polishing protocol. At the time, those doubts felt like signs of inexperience. But revisiting them afterwards showed me that those questions were actually the foundation of growth. Each hesitation led to research, feedback and ultimately, better results.
That shift, from fearing mistakes to learning from them, has been one of the most empowering parts of early-career dentistry. Reflection has taught me to value curiosity over perfection and progress over pressure.
Closing thoughts
Reflection turns experience into understanding and everyday dentistry into a journey of lifelong learning.
For me, it has made my clinical work more intentional, my patient care more consistent, and my growth as a dentist more measurable. Dentistry evolves not only through skill, but through self-awareness. Every case, every success and every setback, has something to teach us, if we just take the time to look.

